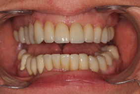
Erzsébet a Teljes szájrendezés igényével kereste fel Dr. Renner Ferenc rendelését. Egyetlen elvárása az volt, hogy a már meglévő, jobb alsó hídpótlását megtarthassa. Elsősorban a fogai esztétikája zavarta, a nem megfelelő fogérintkezéssel kapcsolatban nem voltak panaszai.
Teljes szájrendezés esetén az a cél, hogy a funkcionális elvárásokat és az esztétikát egymástól elválaszthatatlanul kezeljük. Amennyiben kizárólag az esztétikai célokat veszünk figyelembe, számtalan kellemetlen következmény előfordulhat, idő előtt eltörő koronák vagy esztétikai héjak, letörő szemfogpótlások, a rágófogpótlások csücske lepattanhat, vagy implantátumot veszíthet a páciens. A funkcionalitást és a szép mosoly iránti igényt együtt kezelő elvek mentén létrehozott mosoly évek múlva is adott, nem okoz testi tüneteket.
Erzsébet esetében először egy látványterv készült, majd a fogak előkészítése után az ideiglenes fogpótlásokat kapott. Ezzel a próbaidőszak alatt a páciens maradéktalanul elégedett volt, így elkészültek a végleges fogpótlások.
A végleges fogpótlásaival Erzsébet nagyon boldog volt, végeláthatatlanul mosolygott és élvezte a tükörből visszanéző, éveket fiatalodó hölgy látványát.
 
![]()  | 
			INFORMÁCIÓ ÉS BEJELENTKEZÉS: +36 1 215 1422  | 
		
![]()  | 
			A RENDELŐ CÍME: DUNA HÁZ 1095 BUDAPEST, BORÁROS TÉR 7. III. LÉPCSŐHÁZ VI. EM. 12.  | 
		
